Trang chủ » Thông tin » Thuốc không an toàn - Tác hại »
Thuốc không an toàn – Tác hại
Hỏng da vì rượu ngâm rễ mật gấu
Cây mật gấu có tác dụng rất tốt trong điều trị các triệu chứng về rối loạn tiêu hoá, đường ruột, đau nhức xương khớp… nhưng làm đẹp da thì lại rất nguy hiểm.

Nhiều chị em đã rất khổ sở khi làm đẹp bằng rượu ngâm rễ cây mật gấu (ảnh minh họa)
Bé 2 tháng tuổi ngộ độc chì vì uống thuốc cam
Con trai mới sinh ngày nào cũng đi ngoài 5-6 lần ra toàn bột, chị Long (37 tuổi, Vĩnh Phúc) nghĩ bé bị tiêu chảy nên cho uống thuốc cam. Đến khi bé nhập viện vì viêm phổi, chị mới ngỡ ngàng khi biết con bị ngộ độc chì cấp.

Bị ngộ độc chì từ quá nhỏ, cháu bé có nhiều nguy cơ bị ảnh hưởng tới não. Ảnh: N.P.
“Rộ” thực phẩm dưỡng sinh
Gần đây nở rộ phong trào chữa bệnh theo phương pháp dưỡng sinh. Tại TP.HCM, nhiều cửa hàng thực phẩm dưỡng sinh đua nhau mọc lên. Hàng loạt thực phẩm được người bán quảng cáo có thể trị khỏi nhiều bệnh nan y.

Trà Bancha không rõ nguồn gốc được quảng cáo trị bá bệnh
Dùng dây rốn làm thuốc, nguy cơ lây bệnh cao
Chỉ dựa vào những lời đồn thổi về tác dụng “thần kỳ” của dây rốn ở trẻ sơ sinh giúp chữa bách bệnh, lại tăng cường sức khỏe, khiến nhiều người ráo riết lùng mua bằng được loại “dược liệu” đặc biệt này. Theo các chuyên gia y tế, tùy tiện sử dụng dây rốn để chữa bệnh, luôn tiềm ẩn nguy cơ lây truyền các bệnh truyền nhiễm nguy hiểm.
Lặng lẽ mua bán
Dây rốn vốn là một loại “rác thải” trong ngành Y, bởi vậy các cơ sở y tế quản lý rất chặt chẽ. Nhưng không hiểu sao, chúng vẫn được tuồn ra ngoài một cách dễ dàng. Hiện nay, mặt hàng đặc biệt này được mua bán lặng lẽ trên thị trường. Trong quá trình thâm nhập thực tế, không mấy khó khăn để chúng tôi có thể mua vài cái dây rốn như thế. Trong vai người cần mua dây rốn để chữa bệnh, chúng tôi tìm đến Bệnh viện Phụ sản Trung ương.
Vừa đặt chân tới cổng bệnh viện, cánh xe ôm liền tới bu kín. Qua tìm hiểu, hầu hết họ đều kiêm vai “cò mồi” dẫn bệnh nhân vào khám. Một người xe ôm tên Chung, chừng 60 tuổi tiến lại gần hỏi: “Cháu dẫn người nhà đi khám bệnh à? Muốn khám nhanh, đưa bác vài chục thôi”. Khi đặt vấn đề muốn mua dây rốn về chữa bệnh vô sinh, ông ta khẳng định: “Nhau thai còn có nữa là đoạn dây rốn”.
Sau đó, người đàn ông này đưa tôi đến gặp một phụ nữ tên Hồng, theo giới thiệu người này trước kia từng công tác ở đây. Hỏi dò vài điều, bà này cho số điện thoại của chị Phước, một cán bộ hiện đang làm trong viện. Bà Hồng không quên dặn dò: Khi gặp chị ấy, mày cứ xưng là cháu cô Hồng, lúc xong việc, bồi dưỡng cho họ bao nhiêu thì tùy.
Tôi gọi vào số 09154xxxxxx của chủ máy tên Phước. Sau khi xác nhận các thông tin về mối quan hệ, người này hẹn khi nào có “hàng” thì gọi đến lấy. Sau hai ngày, người gọi điện thông báo đến lấy, chúng tôi nhanh chóng có mặt tại bệnh viện. Người phụ nữ này bước ra từ dãy hành lang làm việc, mặt bịt khẩu trang che kín, tay cầm theo một túi màu xanh.

Một dây rốn mà phóng viên thu thập được trong tác nghiệp.
Bị sưng mặt vì tự đắp mặt nạ thuốc Bắc
(ảnh minh họa)
Chị Nguyễn Thu Loan (Trương Định, Hà Nội) thường mua bột thuốc Bắc về trộn với sữa đậu nành hoặc sữa tươi để đắp mặt. Được một thời gian, da mặt chị xuất hiện nhiều nốt mẩn đỏ.
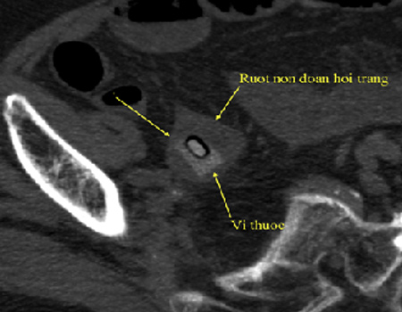
Tai nạn từ viên thuốc nguyên vỉ
Một bệnh nhân 34 tuổi ở quận 8, TP HCM, nhập viện trong tình trạng đau rát cổ. Kết quả nội soi cho thấy trong thực quản người này mắc kẹt một viên thuốc còn nguyên cả vỉ kẽm.

Viên thuốc còn vỉ gây thủng ruột non một bệnh nhân. Ảnh: Trung Hào
Cảnh báo về thuốc pioglitazon chữa đái tháo đường
Pioglitazon là thuốc được chỉ định điều trị đái tháo đường typ 2 (không phụ thuộc insulin). Ngày 9/6/2011, Cơ quan Quản lý dược Pháp (Afssaaps) đã ra quyết định ngừng sử dụng các thuốc có chứa pioglitazon (biệt dược actos, competac) do tăng nguy cơ gây ung thư bàng quang. Ảnh minh họa […]
Đông trùng hạ thảo được làm giả tinh vi
Hiện nay, nhiều quảng cáo cho rằng, đông trùng hạ thảo (ĐTHT) chữa bách bệnh, nhất là các bệnh nan y như ung thư, viêm phổi, trị liệt dương, tăng cường sinh lực… Nhưng theo các chuyên gia, nó không có tác dụng chữa bệnh, thậm chí hiện nay hàng rởm là chủ yếu nên […]
Sự nguy hại của phế thải dược phẩm tới sức khỏe
Con người đã nghiên cứu sản xuất hàng ngàn, hàng chục ngàn sản phẩm dược phẩm với mục đích chữa bệnh mang lại phẩm chất sống tối ưu. Tuy nhiên việc khống chế tác hại chất thải của các dược phẩm trên ở ngoài môi trường hầu như chưa được biết đến. Chính những hoá […]
Suýt chết vì uống thuốc quên bóc bỏ… vỏ
(ảnh minh họa)
Khi lấy thuốc uống, thay vì bóc viên nang ra khỏi vỏ thuốc, anh T.A.D (19 tuổi, Tiên Lữ, Hưng Yên) uống luôn cả vỏ bao ngoài. Thuốc vướng ở thực quản, gây thủng thực quản, tràn dịch mảng phổi…
